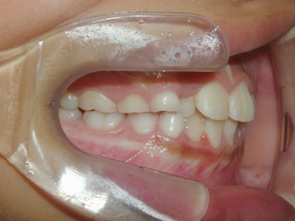
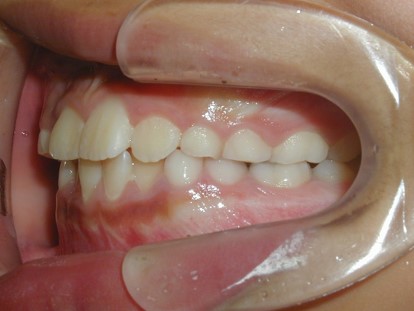
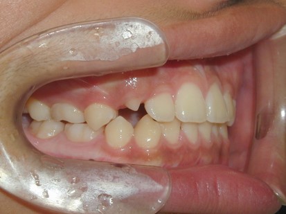
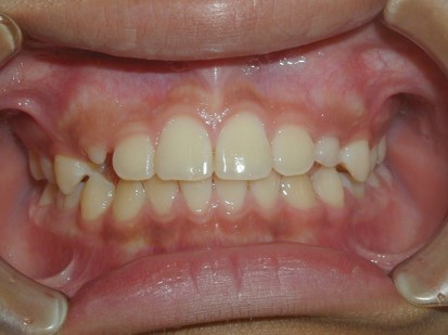
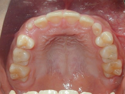
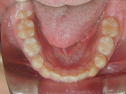
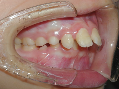
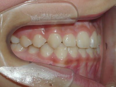
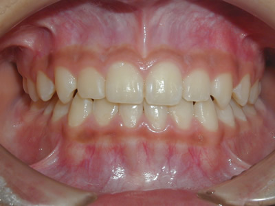
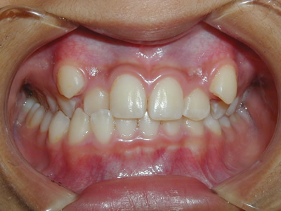
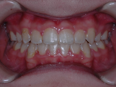
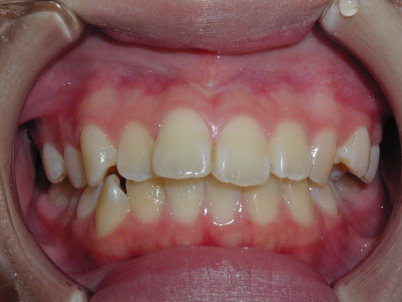
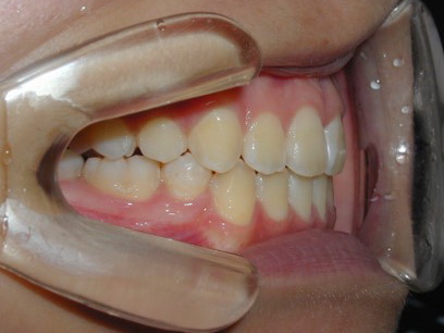
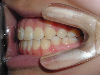
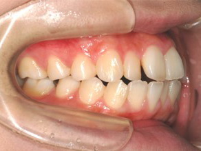
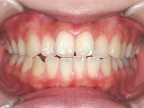
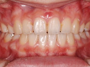
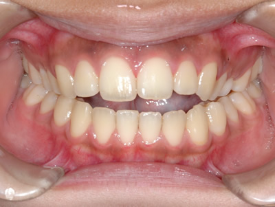
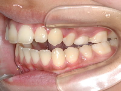
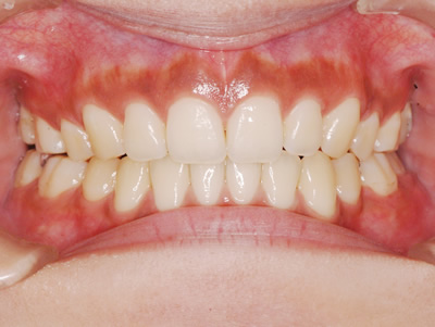
永久歯に交換するためのスペース不足による前歯のガタガタで、取り外しができる拡大床にて上下顎の幅を拡大した後、上顎の前歯をマルチブラケット装置で並べました。治療の期間は1年9か月でした。
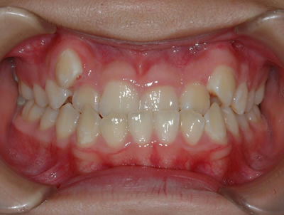
初診時





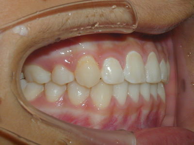
終了時





| 費用の目安 | 440,000(税込) | |
|---|---|---|
| 治療期間の目安 | 1年9が月 | |
| 治療に関する注意点・リスク |
保険適用外の自由診療となります。 歯の移動に伴う痛みが出る場合があります。 |
|
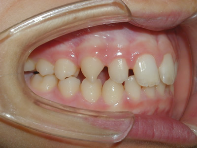
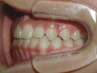
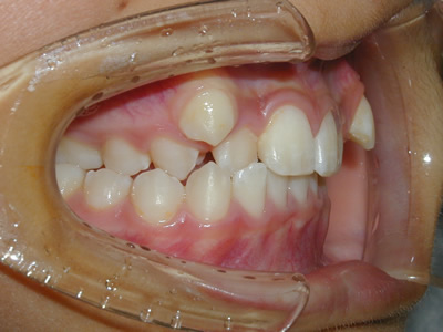
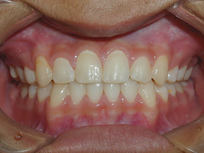
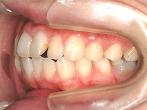
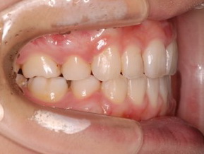
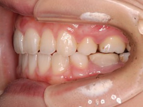
上顎の劣成長 (成長不足) による反対咬合で、上顎は拡大装置と上顎前方牽引装置を併用し前方方向への成長を促して前歯の咬み合わせを改善した後に、上下顎の前歯をマルチブラケット装置で並べました。治療の期間は2年でした。
初診時



1期治療終了時



2期治療終了時



| 費用の目安 | 440,000(税込) | |
|---|---|---|
| 治療期間の目安 | 2年 | |
| 治療に関する注意点・リスク |
保険適用外の自由診療となります。 歯の移動に伴う痛みが出る場合があります。 |
|
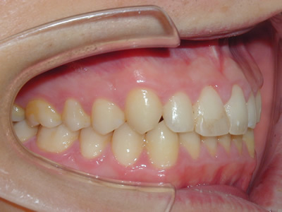
上顎の劣成長 (成長不足) による反対咬合で、上顎は拡大装置と上顎前方牽引装置を併用し前方方向への成長を促して前歯の咬み合わせを改善した後に、上下顎の前歯をマルチブラケット装置で並べました。治療の期間は2年でした。
初診時




終了時




| 費用の目安 | 440,000(税込) | |
|---|---|---|
| 治療期間の目安 | 2年 | |
| 治療に関する注意点・リスク |
保険適用外の自由診療となります。 歯の移動に伴う痛みが出る場合があります。 |
|
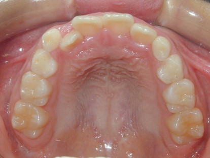
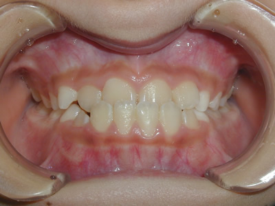
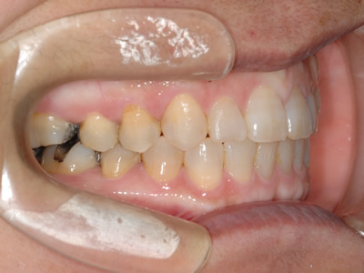
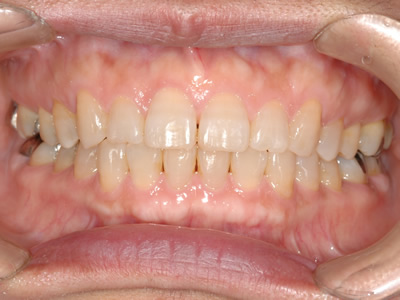
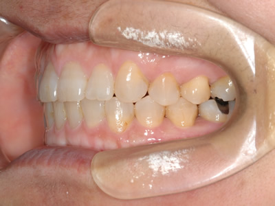
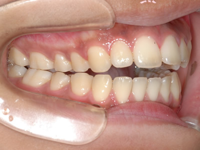
上顎前歯部のガタガタを気にして来院されました。上顎の左右第一小臼歯 (4番目の歯) を抜歯し、マルチブラケット装置で治療しました。治療期間は2年3か月でした。
初診時



終了時



| 費用の目安 | 770,000(税込) | |
|---|---|---|
| 治療期間の目安 | 2年3ヶ月 | |
| 治療に関する注意点・リスク |
保険適用外の自由診療となります。 歯の移動に伴う痛みが出る場合があります。 |
|
上顎前歯のガタガタと前歯の反対咬合を気にして来院されました。上下顎の左右第一小臼歯 (4番目の歯) を抜歯し、マルチブラケット装置で治療しました。治療期間は2年10ヶ月かかりました。
初診時



終了時



| 費用の目安 | 770,000(税込) | |
|---|---|---|
| 治療期間の目安 | 2年10ヶ月 | |
| 治療に関する注意点・リスク |
保険適用外の自由診療となります。 歯の移動に伴う痛みが出る場合があります。 |
|
上顎前歯の前突感を気にして来院されました。上下顎の左右第一小臼歯 (4番目の歯) を抜歯し、上顎は裏側装置・下顎は表側装置で治療しました。治療期間は2年8ヶ月でした。
初診時




終了時




| 費用の目安 | 770,000(税込) | |
|---|---|---|
| 治療期間の目安 | 2年8ヶ月 | |
| 治療に関する注意点・リスク |
保険適用外の自由診療となります。 歯の移動に伴う痛みが出る場合があります。 |
|
口元の突出感を気にして来院されました。上下顎の左右第一小臼歯 (4番目の歯) を抜歯し、矯正用ミニインプラントを埋入し、最大限に横顔、口元の改善を行いました。治療期間は2年でした。
初診時




終了時




| 費用の目安 | 770,000(税込) | |
|---|---|---|
| 治療期間の目安 | 2年 | |
| 治療に関する注意点・リスク |
保険適用外の自由診療となります。 歯の移動に伴う痛みが出る場合があります。 |
|
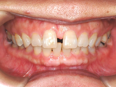
前歯の隙間を気にして来院されました。抜歯はせずにマルチブラケット装置で治療しました。治療期間は1年7ヶ月でした。
初診時



終了時



| 費用の目安 | 770,000(税込) | |
|---|---|---|
| 治療期間の目安 | 1年7ヶ月 | |
| 治療に関する注意点・リスク |
保険適用外の自由診療となります。 歯の移動に伴う痛みが出る場合があります。 |
|
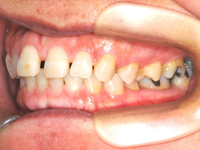
前歯が咬みあわないことを気にして来院されました。上下顎の左右第一小臼歯 (4番目の歯) を抜歯し、矯正用ミニインプラントを上顎の裏側に埋入して治療しました。治療期間は3年でした。
初診時



終了時



| 費用の目安 | 770,000(税込) | |
|---|---|---|
| 治療期間の目安 | 3年 | |
| 治療に関する注意点・リスク |
保険適用外の自由診療となります。 歯の移動に伴う痛みが出る場合があります。 |
|